
걷다가 발을 헛디뎌본 적 있으신가요? 또는 운동 중 발에 강한 통증을 느껴본 경험이 있나요? 생각보다 많은 사람들이 발골절을 경험합니다. 발은 우리 몸의 체중을 하루 종일 지탱하는 중요한 부위이기 때문에 작은 충격에도 쉽게 손상될 수 있습니다.
하지만 많은 분들이 발을 삐었다고만 생각하고 그냥 넘어가기도 합니다. 그런데 만약 그게 단순한 염좌가 아니라 발골절이라면 어떻게 될까요? 제대로 치료하지 않으면 오래 고생할 수도 있습니다.
발은 마치 집을 지탱하는 기둥과 같습니다. 기둥에 금이 가면 집 전체가 흔들리듯, 발에 문제가 생기면 우리의 일상생활도 크게 영향을 받습니다. 그래서 오늘은 발골절의 증상, 원인, 치료, 회복 방법까지 누구나 이해하기 쉽게 자세히 알아보겠습니다.
1. 발골절이란 무엇인가
발골절은 말 그대로 발뼈가 금이 가거나 부러지는 상태를 의미합니다. 발에는 총 26개의 뼈가 있습니다. 생각보다 많죠?
이 많은 뼈들은 서로 연결되어 체중을 지탱하고 균형을 유지합니다. 그런데 강한 충격이나 반복적인 스트레스가 가해지면 이 뼈 중 하나가 손상될 수 있습니다.
발골절은 크게 두 가지로 나눌 수 있습니다.
① 외상성 골절
넘어지거나 부딪히는 사고로 발생합니다.
② 피로 골절
반복적인 충격으로 생깁니다. 특히 운동선수에게 흔합니다.
쉽게 말해 발골절은 한 번의 큰 충격이나 여러 번의 작은 충격으로 발생할 수 있습니다.
2. 발의 구조와 골절이 발생하는 이유
발은 생각보다 매우 복잡한 구조입니다.
발에는 다음과 같은 구조가 있습니다.
① 발가락뼈 (지골)
② 발등뼈 (중족골)
③ 발목과 연결되는 뼈 (족근골)
이 뼈들은 서로 연결되어 몸의 균형과 움직임을 담당합니다.
하루 동안 우리가 걷는 거리를 생각해 보세요. 평균적으로 7,000~10,000보 정도 걷는다고 합니다. 그때마다 발은 체중의 몇 배에 달하는 압력을 받습니다.
즉 발은 매일 엄청난 일을 하는 부위입니다. 그래서 작은 충격에도 쉽게 손상이 생길 수 있습니다.
3. 발골절의 주요 원인
발골절은 여러 이유로 발생할 수 있습니다.
대표적인 원인을 살펴보겠습니다.
1. 넘어짐
계단에서 발을 헛디디거나 넘어질 때 발생합니다.
2. 교통사고
강한 충격으로 발뼈가 손상될 수 있습니다.
3. 운동 중 부상
축구, 농구, 러닝 등 격렬한 운동에서 흔합니다.
4. 높은 곳에서 착지
점프 후 잘못 착지하면 골절이 생길 수 있습니다.
5. 반복적인 압력
마라톤 선수에게 흔한 피로골절의 원인입니다.
4. 발골절의 대표적인 증상
발골절이 발생하면 여러 증상이 나타납니다.
가장 흔한 증상은 다음과 같습니다.
① 심한 통증
걷기 어려울 정도의 통증이 생깁니다.
② 붓기
발이 크게 부어오를 수 있습니다.
③ 멍
피부 아래 출혈로 멍이 생깁니다.
④ 체중을 싣기 어려움
발에 힘을 줄 수 없습니다.
⑤ 발 모양 변화
심한 경우 발이 변형될 수 있습니다.
만약 발을 다친 뒤 몇 시간 지나도 통증이 계속된다면 골절을 의심해 볼 필요가 있습니다.
5. 발골절과 발목 염좌의 차이

많은 사람들이 발목을 삐었다고 생각하지만 실제로는 골절인 경우도 있습니다.
두 가지의 차이를 알아볼까요?
| 통증 | 매우 심함 | 비교적 약함 |
| 체중 지지 | 거의 불가능 | 어느 정도 가능 |
| 붓기 | 심함 | 보통 |
| 치료 | 깁스 또는 수술 | 휴식과 물리치료 |
간단히 말하면 골절은 뼈 문제, 염좌는 인대 문제입니다.
6. 발골절이 잘 발생하는 부위
발골절은 특정 부위에서 자주 발생합니다.
① 중족골 골절
발등 부분에서 흔합니다.
② 발가락 골절
가구에 발을 부딪힐 때 발생합니다.
③ 뒤꿈치 골절
높은 곳에서 떨어질 때 발생합니다.
④ 발목 주변 골절
운동 중 흔합니다.
특히 5번째 중족골 골절은 매우 흔한 부상입니다.
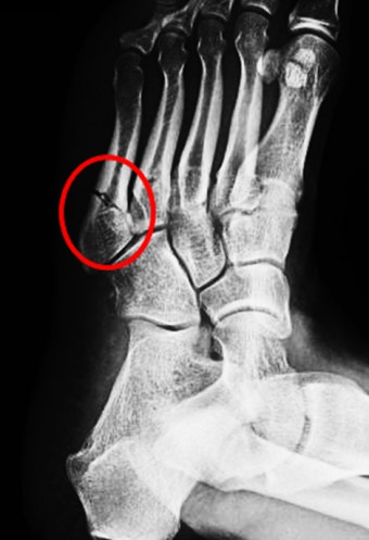
7. 발골절 진단 방법
발골절이 의심된다면 병원에서 정확한 검사를 받아야 합니다.
대표적인 진단 방법은 다음과 같습니다.
① X-ray 검사
가장 기본적인 검사입니다.
② CT 검사
복잡한 골절을 확인합니다.
③ MRI 검사
피로골절 확인에 사용됩니다.
의사는 검사 결과를 통해 골절 위치와 정도를 판단합니다.
8. 발골절 치료 방법
발골절 치료는 골절 정도에 따라 달라집니다.
1. 보존적 치료
가벼운 골절은 다음 방법으로 치료합니다.
- 깁스
- 보호대
- 휴식
- 얼음찜질
2. 수술 치료
다음 경우에는 수술이 필요할 수 있습니다.
- 뼈가 크게 어긋난 경우
- 여러 개의 골절
- 관절 손상
수술은 핀이나 나사로 뼈를 고정하는 방식으로 진행됩니다.
9. 발골절 회복 기간
많은 사람들이 가장 궁금해하는 부분입니다.
발골절 회복 기간은 보통 다음과 같습니다.
| 발가락 골절 | 3~4주 |
| 중족골 골절 | 6~8주 |
| 심한 골절 | 3개월 이상 |
하지만 개인의 나이, 건강 상태, 치료 방법에 따라 달라질 수 있습니다.
10. 발골절 치료 후 재활 운동

치료가 끝났다고 바로 예전처럼 활동하면 안 됩니다.
재활 운동이 매우 중요합니다.
발가락 스트레칭
발가락을 천천히 위아래로 움직입니다.
발목 돌리기
발목을 부드럽게 회전합니다.
수건 잡기 운동
발가락으로 수건을 잡습니다.
이 운동들은 발 근력을 회복하는 데 도움을 줍니다.
11. 발골절 치료 중 주의사항
회복을 빠르게 하기 위해 다음을 주의해야 합니다.
① 무리한 움직임 금지
② 체중 부담 최소화
③ 깁스 관리
④ 정기적인 병원 방문
특히 깁스를 했다면 절대 물에 젖지 않도록 주의해야 합니다.
12. 발골절 예방 방법
발골절은 예방도 가능합니다.
대표적인 방법은 다음과 같습니다.
① 편한 신발 착용
② 운동 전 스트레칭
③ 균형 잡힌 식사
④ 근력 운동
특히 칼슘과 비타민 D 섭취가 중요합니다.
13. 발골절을 방치하면 생기는 문제
골절을 치료하지 않으면 다음 문제가 발생할 수 있습니다.
① 뼈 변형
② 만성 통증
③ 관절염
④ 보행 장애
마치 금이 간 다리를 계속 사용하면 결국 부러지는 것처럼, 발도 마찬가지입니다.
14. 발 건강을 위한 생활 습관

발 건강을 지키기 위해서는 다음 습관이 중요합니다.
① 적절한 체중 유지
② 발 마사지
③ 발 스트레칭
④ 좋은 신발 선택
발은 우리 몸의 기초 공사 같은 존재입니다. 기초가 튼튼해야 몸 전체도 건강합니다.
결론
발골절은 생각보다 흔한 부상입니다. 하지만 많은 사람들이 단순한 발목 부상으로 착각하고 치료를 미루기도 합니다.
발은 매일 우리의 체중을 지탱하고 움직임을 가능하게 하는 중요한 부위입니다. 따라서 발에 심한 통증이나 붓기가 있다면 절대 가볍게 넘기지 말고 정확한 검사를 받아야 합니다.
조기에 치료하면 대부분 정상적인 생활로 돌아갈 수 있습니다. 반대로 방치하면 오랜 기간 통증과 불편함을 겪을 수 있습니다.
우리 몸을 집에 비유한다면 발은 기초 구조와 같습니다. 기초가 튼튼해야 집이 오래 버티듯, 발 건강을 지키는 것이 곧 우리의 건강을 지키는 길입니다.
자주 묻는 질문 (FAQ)
1. 발골절이 의심되면 어떻게 해야 하나요?
즉시 발을 움직이지 말고 병원을 방문해 X-ray 검사를 받는 것이 좋습니다.
2. 발골절인데 걸어도 괜찮을까요?
가능하면 걷지 않는 것이 좋습니다. 체중이 실리면 골절이 악화될 수 있습니다.
3. 발골절 회복 후 운동은 언제 가능한가요?
보통 6~8주 후 가능하지만 의사의 판단에 따라 달라질 수 있습니다.
4. 발골절은 자연적으로 치료될 수 있나요?
가벼운 골절은 가능하지만 대부분 고정 치료나 의료적 관리가 필요합니다.
5. 발골절 후 후유증이 남을 수도 있나요?
치료가 늦거나 심한 골절의 경우 만성 통증이나 관절 문제가 남을 수 있습니다.
댓글