
침샘부음이란?
침샘의 기능과 역할
침샘은 우리가 음식을 씹고 소화할 때 꼭 필요한 침을 생성하는 중요한 기관입니다. 보통 귀밑(이하선), 턱밑(악하선), 혀밑(설하선) 등 세 가지 주요 침샘이 존재하며, 이들은 하루에 약 1~1.5리터의 침을 분비합니다. 이 침은 단순히 음식물을 적시는 역할을 넘어서 소화효소(아밀라아제 등)를 포함하여 소화 시작을 돕고, 입 안을 세균으로부터 보호하며, 충치 예방에도 관여합니다.
하지만 이 중요한 기관이 부어오르게 되면 통증과 함께 여러 가지 문제가 생길 수 있습니다. 이 현상을 침샘부음이라고 부르며, 단순한 부종부터 시작해 감염, 결석, 혹은 암과 같은 중대한 질환의 신호일 수 있습니다. 침샘이 부으면 얼굴 한쪽이 불룩하게 부풀어 오르기도 하고, 입을 벌릴 때 통증이 동반될 수 있으며, 심하면 침 분비가 잘 되지 않아 구강 건조증까지 이어질 수 있습니다.
일상생활에서 무심코 넘길 수 있는 작은 증상들이 침샘 이상에서 비롯된 것일 수 있으므로, 침샘의 기능과 역할에 대한 이해는 이 증상을 조기에 발견하고 치료하는 데 큰 도움이 됩니다. 특히 감기처럼 흔한 바이러스 감염조차도 침샘에 영향을 줄 수 있어 주의가 필요합니다. 따라서 단순한 얼굴 부기라고 방치하지 말고, 그 원인을 잘 파악하는 것이 무엇보다 중요합니다.
침샘부음이 나타나는 방식
침샘이 부으면 대부분 얼굴의 특정 부위가 눈에 띄게 붓습니다. 특히 귀밑이나 턱밑이 퉁퉁 부어올라 손으로 만졌을 때 딱딱하고 통증을 동반하는 경우가 많습니다. 이 부음은 갑자기 생길 수도 있고, 서서히 진행되면서 크기가 커지는 경우도 있습니다. 단순한 붓기로 보일 수 있지만, 실제로는 그 안에 고름이 차 있는 경우도 있으며, 만성화되면 피부색이 변하거나 통증이 만성적으로 이어지는 경우도 있습니다.
침샘부음은 대개 한쪽만 붓는 경우가 많지만, 자가면역질환이나 바이러스 감염에 의해 양쪽 모두가 붓는 사례도 존재합니다. 부음과 함께 열이 나거나 오한, 피로감 같은 전신증상이 동반되면 감염 가능성을 높게 봐야 하며, 즉각적인 의료 진단이 필요합니다.
침샘부음은 그냥 지나칠 수 있는 일시적 현상 같지만, 감염이나 결석, 심지어 악성 종양의 초기 증상일 수 있기 때문에 부음이 지속되거나 반복된다면 정확한 진단이 필수입니다.
침샘부음의 주요 원인
바이러스 및 세균 감염
침샘이 붓는 가장 흔한 원인 중 하나는 감염입니다. 바이러스와 세균 모두 침샘에 염증을 유발할 수 있으며, 대표적인 예로 **유행성이하선염(볼거리)**이 있습니다. 이 병은 특히 어린이들에게 흔히 발생하며, 귀밑이 붓고 통증이 동반되며 열이 나는 증상이 특징입니다.
성인에게는 세균 감염이 더 흔한 원인이 되기도 합니다. 입안의 세균이 침샘으로 유입되면서 염증을 일으키는데, 이는 세균성 침샘염으로 불리며 대개 침 분비가 줄어들거나 면역력이 약화됐을 때 발생합니다. 노인이나 수술 후 회복 중인 환자, 항암치료 중인 사람들에게서 자주 발생합니다.
세균성 감염은 급성으로 나타나며, 갑자기 침샘이 붓고 심한 통증과 열을 동반합니다. 고름이 생기면 침을 삼킬 때 불편함이 심해지고, 심할 경우 입 안에서 고름이 배출되기도 합니다. 이런 경우엔 빠른 항생제 치료가 필요하며, 치료가 늦어지면 감염이 주위 조직으로 퍼져 더욱 위험한 상태가 될 수 있습니다.
따라서 단순한 감기와 비슷하다고 넘기지 말고, 침샘이 붓고 통증이 동반된다면 병원에서 정확한 감염 여부를 확인받는 것이 중요합니다.
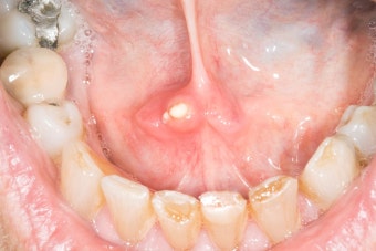
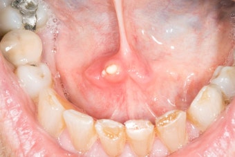
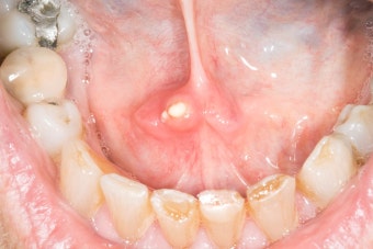
타석증(침샘결석)
침샘결석은 침샘부음의 또 다른 흔한 원인입니다. 침 속에는 칼슘, 인, 단백질 등의 다양한 성분이 들어 있는데, 이들이 침샘이나 침관(도관) 내에서 굳어져 돌처럼 형성되는 것이 침샘결석입니다. 이런 결석이 침샘의 입구를 막게 되면 침이 배출되지 못해 침샘 내부에 압력이 증가하고, 그 결과로 침샘이 부어오릅니다.
침샘결석은 특히 **턱밑 침샘(악하선)**에서 자주 발생하며, 식사 중에 침 분비가 늘어날 때 통증이 심해지는 것이 특징입니다. 입 안의 바닥에서 만져지는 작은 혹처럼 느껴질 수 있으며, 경우에 따라 염증을 동반하기도 합니다.
작은 결석은 자연스럽게 빠져나올 수 있지만, 크기가 크거나 침샘 깊숙이 박혀 있다면 수술로 제거해야 할 수도 있습니다. 초기에 발견하면 간단한 치료로 해결되므로, 식사 중이나 후에 반복적으로 침샘이 붓는다면 결석 가능성을 의심해볼 필요가 있습니다.

자가면역질환(예: 쇼그렌 증후군)
침샘부음의 원인 중 하나로 자가면역질환, 특히 **쇼그렌 증후군(Sjögren's syndrome)**이 주목받고 있습니다. 이 질환은 몸의 면역체계가 자기 조직을 공격하는 병으로, 주로 침샘과 눈물샘을 공격해 침과 눈물이 제대로 나오지 않게 만듭니다. 결과적으로 침샘이 붓고, 통증 없이도 딱딱해지는 느낌이 들며 만성적인 구강건조증을 호소하게 됩니다.
쇼그렌 증후군은 여성에게 특히 많이 발생하며, 중장년층에서 자주 나타납니다. 특징적인 증상은 입과 눈의 건조함, 침샘의 반복적인 부음, 입냄새, 충치 증가 등입니다. 초기에는 대수롭지 않게 여길 수 있지만, 시간이 지날수록 침샘 기능이 완전히 손상되기도 합니다.
이 질환은 혈액검사와 자가항체 검사(Anti-SSA, Anti-SSB 등)로 진단할 수 있으며, 침샘 생검을 통해 확진합니다. 완치보다는 증상 관리가 중심이기 때문에, 조기 발견과 꾸준한 치료가 중요합니다. 인공 침 사용, 항염증제, 면역조절제 등을 통해 증상을 완화시키며, 구강 위생도 철저히 관리해야 합니다. 침샘부음이 반복되거나, 통증 없이도 침샘이 만성적으로 붓는다면 자가면역질환의 가능성을 의심해보는 것이 현명합니다.
종양 또는 낭종
침샘 내에 발생하는 **종양(양성 또는 악성)**과 **낭종(물혹)**도 침샘이 붓는 주요 원인 중 하나입니다. 특히 **이하선(귀밑샘)**은 침샘 종양이 가장 흔히 발생하는 부위로, 이 부위가 단단하게 붓고, 시간이 지나도 가라앉지 않는다면 종양 가능성을 배제할 수 없습니다.
침샘 종양은 대부분 양성이지만, 간혹 악성 종양으로 발전하기도 합니다. 양성 종양은 통증이 없는 것이 특징이고, 서서히 커지며 딱딱한 혹처럼 느껴집니다. 반면 악성 종양은 통증을 유발할 수 있고, 얼굴 근육을 움직이게 하는 신경에 영향을 주면 얼굴 마비 증상이 동반될 수 있습니다.
낭종의 경우엔 내부에 액체가 차 있으며, 만지면 말랑하고 움직이는 듯한 느낌이 들 수 있습니다. 낭종은 감염되면 염증과 함께 통증을 유발하며, 크기가 커지면 미용적인 문제도 생깁니다.
종양이나 낭종의 경우에는 단순한 약물치료로 해결되지 않으며, 영상검사(초음파, MRI, CT)와 조직검사(생검)를 통해 정확한 진단이 필요합니다. 대부분 수술로 제거하며, 악성일 경우 방사선치료나 항암치료도 병행하게 됩니다. 특히 통증 없는 단단한 혹이 오래 지속될 경우에는 반드시 전문의 진료를 받아야 합니다.
침샘부음의 주요 증상
부종과 통증
침샘부음의 가장 눈에 띄는 증상은 부기와 통증입니다. 붓기는 국소적으로, 특히 귀밑이나 턱 아래에서 나타나며, 손으로 눌렀을 때 단단하고 통증을 유발합니다. 이 통증은 음식을 먹을 때나 침이 많이 분비될 때 더 심해지는 경향이 있습니다. 침이 제대로 배출되지 않거나 염증으로 인해 압력이 높아지면, 통증이 극심해지고 주변 피부도 붉게 변할 수 있습니다.
특히 감염성 원인일 경우엔 열과 함께 박동성 통증이 느껴지고, 심하면 피부까지 화끈거리는 느낌이 듭니다. 세균 감염이 있을 경우 고름이 차면서 입 안에서 고름이 배출되기도 합니다. 반대로 쇼그렌 증후군처럼 만성 자가면역질환에서는 붓기는 있지만 통증은 거의 없으며, 지속적인 불편함만 남는 경우도 많습니다.
이러한 증상은 일시적일 수도 있지만, 반복적으로 발생한다면 반드시 원인을 찾아야 합니다. 특히 한쪽만 붓는 경우에는 종양 가능성도 배제할 수 없기 때문에 더 주의가 필요합니다. 증상의 강도, 지속시간, 통증 여부 등은 모두 정확한 진단에 중요한 단서가 되므로, 이러한 증상을 잘 기록하고 의료진에게 전달하는 것이 중요합니다.
구취 및 구강 건조
침샘이 정상적으로 작동하지 않으면, 가장 먼저 느껴지는 변화 중 하나는 **입냄새(구취)**와 구강 건조증입니다. 침은 입속 세균을 억제하고, 음식 찌꺼기를 씻어내며, 입안을 항상 촉촉하게 유지해주는 중요한 역할을 합니다. 하지만 침샘이 부으면 침 분비가 줄어들어 입이 마르게 되고, 결과적으로 세균이 급격히 증가하면서 구취가 심해지게 됩니다.
침이 부족하면 말할 때 불편하고, 음식을 삼킬 때도 목 넘김이 힘들어집니다. 특히 자다가 입이 마르고 깨는 경우, 입술이나 혀가 자주 트는 경우, 끈적끈적한 침이 계속 남아있는 느낌이 든다면 침샘 기능 저하를 의심해야 합니다. 이로 인해 충치나 치주질환의 위험도 함께 높아집니다.
더 나아가 침샘 내 결석이 있다면, 침이 흐르지 않아 침샘 내에 세균이 번식하게 되고, 이로 인해 고약한 냄새가 입 안에서 지속적으로 날 수 있습니다. 일상생활에 지장을 줄 정도의 구취가 있다면 단순한 치과 문제 외에도 침샘 기능 이상을 고려해보아야 하며, 이비인후과 또는 구강내과의 상담이 필요합니다.
열과 전신증상
감염성 침샘부음의 경우에는 국소적인 증상 외에도 발열, 오한, 근육통, 피로감 등의 전신 증상이 동반될 수 있습니다. 이는 침샘 내 염증이 단순한 부종을 넘어 전신으로 퍼지고 있다는 신호일 수 있습니다. 고열이 동반된다면 이미 감염이 심화되어 전신적인 대응이 필요한 상태일 수 있으므로, 즉각적인 병원 진료가 필요합니다.
특히 유행성이하선염(볼거리) 같은 바이러스 감염에서는 얼굴이 붓기 전부터 전신 권태감과 열이 먼저 나타나는 경우가 많습니다. 반면 세균성 감염의 경우에는 침샘이 부은 후 열이 오르는 양상이 더 일반적입니다.
만약 침샘부음과 함께 식욕 저하, 체중 감소, 무기력감 등의 증상까지 나타난다면 자가면역질환이나 종양성 질환 가능성까지 염두에 두어야 합니다. 특히 이러한 증상들이 지속되거나 악화될 경우 자가 진단이나 민간요법보다는 전문적인 검사와 치료가 절대적으로 필요합니다.

진단 방법
병력 청취 및 신체검사
침샘부음의 진단은 철저한 병력 청취와 신체검사부터 시작됩니다. 의료진은 먼저 환자의 증상 시작 시점, 통증의 유무, 식사 시 악화 여부, 반복 발생 여부 등을 꼼꼼하게 확인합니다. 예를 들어, 식사할 때만 붓고 통증이 동반된다면 결석 가능성을 우선 의심할 수 있으며, 열이 동반된다면 감염성 원인을 고려하게 됩니다.
신체검사에서는 손으로 해당 부위를 만져보며 단단한 혹인지, 움직이는지, 통증이 동반되는지 등을 확인합니다. 감염성 부음은 누르면 통증이 있고, 따뜻하게 느껴지며, 종양이나 낭종의 경우에는 통증 없이 만져지는 고정된 덩어리일 수 있습니다. 또한 양쪽 침샘이 부었는지, 단측성인지도 중요한 진단 포인트입니다.
침샘 주변 림프절이 부어있는지 확인하는 것도 필수입니다. 감염이 퍼졌다면 림프절도 반응하게 되기 때문입니다. 간단한 시진과 촉진으로도 많은 정보를 얻을 수 있지만, 정확한 진단을 위해선 다음 단계인 영상 및 혈액검사가 이어져야 합니다.
영상 검사(초음파, CT, MRI)
침샘부음의 정확한 원인을 확인하기 위해 가장 먼저 시행되는 영상 검사는 초음파 검사입니다. 초음파는 침샘 내에 액체가 찼는지, 결석이 있는지, 종양이 있는지 등을 비침습적으로 확인할 수 있는 안전하고 효율적인 검사입니다. 결석은 초음파에서 밝게 반사되며, 낭종은 내부가 어둡게 비쳐 구별이 용이합니다.
초음파에서 더 정밀한 검사가 필요할 경우, **CT(컴퓨터 단층촬영)**나 **MRI(자기공명영상)**가 시행됩니다. CT는 뼈나 결석을 명확하게 확인할 수 있으며, 종양의 위치와 침범 정도를 자세히 볼 수 있습니다. 반면 MRI는 연조직의 대조도가 높아, 악성 종양이나 낭종을 더 정밀하게 파악하는 데 유리합니다.
특히 종양이 의심될 경우에는 CT와 MRI를 모두 병행하는 것이 일반적입니다. 또한 도관 조영술이라는 특수 검사를 통해 침샘 도관이 막힌 부위를 확인할 수 있으며, 이 검사는 특히 타석증 진단에 유용합니다. 영상검사는 진단뿐 아니라 치료 방침을 결정하는 데에도 큰 역할을 하므로, 증상이 심하거나 반복된다면 꼭 시행해야 합니다.
혈액 검사 및 침샘 기능 검사
침샘부음의 원인이 감염이나 자가면역질환이라면 혈액검사를 통해 확진할 수 있습니다. 감염이 의심되는 경우엔 백혈구 수치, C-반응단백(CRP), ESR 등 염증 수치를 확인합니다. 수치가 높다면 급성 염증이 진행 중이라는 뜻이며, 항생제 치료가 필요할 수 있습니다.
반면, 쇼그렌 증후군이나 루푸스 같은 자가면역질환이 의심되는 경우엔 자가항체 검사(Anti-SSA, Anti-SSB), 류마티스 인자(RF), ANA 검사 등을 시행합니다. 자가항체가 양성일 경우 자가면역 침샘염 가능성이 매우 높아집니다.
또한 침샘의 기능을 직접 측정하기 위해 **타액분비량 검사(Saxon test)**나 **핵의학 검사(침샘 스캔)**를 시행하기도 합니다. 침의 분비량을 일정 시간 동안 측정하거나, 방사성 동위원소를 사용하여 침샘의 기능을 시각화할 수 있습니다. 이러한 기능 검사 결과는 치료 방향 설정에 큰 도움이 됩니다.
침샘부음의 치료 방법
보존적 치료(온찜질, 수분 섭취)
침샘부음의 초기 단계에서 가장 먼저 시도할 수 있는 방법은 보존적 치료입니다. 통증이 심하지 않고 감염 소견이 없는 경우에는 집에서 간단히 관리할 수 있습니다. 따뜻한 찜질은 혈액순환을 촉진시켜 염증을 줄이고 통증을 완화하는 데 효과적입니다. 하루에 여러 번 15~20분씩 찜질을 해주는 것이 좋습니다.
또한 수분을 충분히 섭취하고, 무설탕 껌이나 신맛 나는 음식을 섭취하여 침샘 자극을 유도하는 것도 좋습니다. 침의 흐름이 증가하면 도관 내 이물질이나 세균이 씻겨 나가 자연스럽게 증상이 완화될 수 있습니다. 구강 위생을 철저히 유지하는 것도 중요한데, 입안을 청결히 유지하면 2차 감염을 예방할 수 있습니다.
침샘 마사지도 도움이 됩니다. 손가락으로 부은 부위를 부드럽게 누르며 안쪽으로 밀어주는 마사지로 침의 배출을 도울 수 있습니다. 하지만 염증이 심하거나 고름이 있는 경우에는 오히려 증상이 악화될 수 있으므로, 증상이 심하면 반드시 병원을 방문해야 합니다.
약물 치료(항생제, 소염제 등)
감염에 의한 침샘부음이 확실하다면 항생제 치료가 가장 먼저 시행됩니다. 가장 많이 사용되는 항생제는 아목시실린+클라불란산 조합이며, 페니실린계 알레르기가 있다면 클린다마이신이나 에리트로마이신 등을 사용할 수 있습니다. 약물 치료는 증상이 시작된 후 48시간 이내에 시작해야 효과가 가장 좋습니다.
통증과 염증이 심할 경우에는 **소염진통제(이부프로펜, 나프록센 등)**도 병용됩니다. 이 약물들은 염증을 줄이고 통증을 완화시켜 일상생활에 불편을 줄여줍니다. 자가면역질환이 원인일 경우에는 스테로이드나 면역억제제가 필요할 수 있으며, 이는 전문의의 판단 하에 사용되어야 합니다.
약물 복용 중에는 부작용(위장장애, 알레르기 반응 등)에 유의해야 하며, 증상이 호전되지 않거나 오히려 악화된다면 즉시 복용을 중단하고 병원을 찾아야 합니다. 임의로 약을 조절하거나 중단하는 것은 치료 실패의 원인이 될 수 있습니다.
외과적 치료(배농, 결석 제거)
보존적 치료나 약물로 효과가 없는 경우에는 외과적 치료가 필요합니다. 세균 감염으로 인해 고름이 차면 절개 및 배농술을 시행해야 하며, 이를 통해 감염된 고름을 제거하고 염증을 완화할 수 있습니다. 보통 국소마취 하에 간단히 시행되며, 이후에는 항생제를 지속적으로 복용해야 합니다.
침샘결석이 원인이라면 결석 제거술이 필요합니다. 입 안을 절개하여 결석을 꺼내거나, 크기가 크면 침샘 도관을 열고 결석을 제거해야 할 수도 있습니다. 최근에는 내시경 수술을 통해 도관 안쪽의 결석도 보다 안전하게 제거할 수 있게 되었습니다.
종양이나 낭종이 원인일 경우에는 조직검사 후 필요에 따라 침샘 절제술이 시행됩니다. 특히 이하선 종양의 경우 안면신경과 밀접하게 연결되어 있어, 신경 손상을 최소화하는 정교한 수술이 필요합니다. 수술 후에는 재발 여부를 관찰하기 위해 정기적인 추적 검사가 요구됩니다.

침샘부음의 예방 방법
구강 위생 관리
침샘부음을 예방하는 데 있어 가장 중요한 첫걸음은 구강 위생 관리입니다. 입 안은 세균이 쉽게 번식하는 공간이기 때문에, 양치질과 구강 세정제를 꾸준히 사용하는 습관이 필수입니다. 하루 3회 이상 올바른 양치질을 통해 입안의 음식물 찌꺼기를 제거하고, 혀 클리너를 사용하여 혀 위의 세균도 관리해야 합니다.
또한 치실이나 워터픽 등 보조 도구를 활용하면 치아 사이에 남아 있는 세균을 효과적으로 제거할 수 있습니다. 이 외에도 정기적인 스케일링과 치과 검진을 통해 구강 질환을 조기에 예방하면, 침샘에 염증이 발생할 가능성을 줄일 수 있습니다.
침샘이 막히는 가장 흔한 원인 중 하나가 세균이므로, 구강 내 세균이 늘어나지 않도록 청결 유지가 핵심입니다. 특히 면역력이 떨어지기 쉬운 환자(노인, 당뇨환자 등)는 구강위생에 더 철저해야 합니다.
수분 섭취와 식습관 개선
침샘이 제대로 작동하려면 충분한 수분 섭취가 필수입니다. 몸에 수분이 부족하면 침샘의 분비량이 줄어들며, 침이 끈적끈적해지고 세균이 쉽게 번식할 수 있는 환경이 됩니다. 하루에 최소 1.5~2리터 이상의 물을 꾸준히 마시는 습관은 침샘 건강뿐 아니라 전반적인 건강에도 좋습니다.
또한, 침 분비를 촉진하는 식품을 섭취하는 것도 도움이 됩니다. 예를 들어, 신맛 나는 음식(레몬, 자몽 등)은 침샘을 자극해 분비를 활성화합니다. 무설탕 껌이나 말린 자두 등도 침샘 운동을 도와 침의 흐름을 원활하게 합니다. 반면, 너무 짜거나 매운 음식, 가공식품, 카페인 음료는 침샘에 자극을 주거나 탈수를 유발할 수 있으므로 피해야 합니다.
규칙적인 식사 습관과 충분한 수분 섭취만으로도 침샘부음을 예방할 수 있으며, 건강한 식생활이 결국 면역력 향상에도 직결되어 감염의 위험성도 낮출 수 있습니다.
침샘부음과 관련된 합병증
만성염증으로의 진행
치료를 하지 않거나 늦게 치료할 경우, 침샘부음은 만성 염증으로 발전할 수 있습니다. 반복적인 염증은 침샘의 구조를 변형시키고, 결국 침샘이 기능을 상실하게 만듭니다. 이런 상태는 만성 침샘염으로 이어지며, 지속적인 부종, 통증, 구강 건조, 입 냄새 등 다양한 증상이 동반됩니다.
한 번 손상된 침샘은 회복이 어렵기 때문에, 초기 치료가 무엇보다 중요합니다. 만성염증으로 이행되면 치료도 복잡해지고, 약물 반응도 떨어지며, 일상생활의 질까지 크게 저하될 수 있습니다. 특히 면역력이 약한 환자에게는 더욱 심각한 영향을 줄 수 있으므로, 초기에 확실한 진단과 치료가 필요합니다.
침샘 기능 저하
침샘이 지속적으로 손상되면 결국 침 분비량이 감소하게 되고, 이는 다양한 2차 문제를 야기합니다. 대표적으로는 구강건조증, 충치 증가, 치주염, 삼킴 장애, 발음 문제 등이 있습니다. 침이 부족하면 입안의 세균이 늘어나면서 구강 내 환경이 악화되고, 소화기능도 저하될 수 있습니다.
이러한 침샘 기능 저하는 특히 쇼그렌 증후군 같은 자가면역질환에서 흔하게 나타나며, 회복이 매우 어려운 경우가 많습니다. 따라서 침샘이 반복적으로 부거나 기능 저하가 의심된다면, 기능검사 및 면역검사를 통해 조기에 대응하는 것이 중요합니다.
언제 병원을 찾아야 할까?
경고 신호 및 응급 상황
다음과 같은 경고 신호가 있다면 반드시 병원을 방문해야 합니다:
- 침샘이 갑자기 부어오르고 통증이 심할 때
- 열이 38도 이상 나면서 얼굴 부위가 붓는 경우
- 침샘이 일주일 이상 부은 상태로 지속될 때
- 얼굴이 붓는 동시에 입을 벌리거나 음식을 삼키기 어려울 때
- 침샘 부위에서 고름이 나오거나, 입에서 고약한 냄새가 날 때
- 얼굴 마비(안면근육 저림, 눈 감기 어려움 등)가 함께 발생할 때
이러한 증상은 단순한 부종이 아니라 감염이나 종양, 또는 신경 압박 같은 심각한 상황을 나타낼 수 있으므로 즉각적인 진단과 치료가 필요합니다.
결론
침샘부음은 단순한 얼굴 붓기처럼 보일 수 있지만, 그 원인과 상태에 따라 감염, 결석, 자가면역질환, 종양 등 다양한 질환과 연관될 수 있습니다. 초기에는 보존적 치료로 호전될 수 있지만, 방치하거나 잘못된 민간요법을 사용할 경우 만성 질환으로 발전하거나 심각한 합병증을 초래할 수 있습니다.
정확한 진단을 위해선 병력 청취, 신체검사, 영상검사, 혈액검사 등이 복합적으로 이루어져야 하며, 치료 역시 원인에 따라 약물, 수술, 생활습관 개선 등 다양하게 접근해야 합니다. 침샘 건강은 구강 건강뿐 아니라 전반적인 면역력, 소화 기능, 삶의 질에까지 영향을 미치므로, 평소 구강 위생과 수분 섭취, 건강한 식습관을 유지하는 것이 무엇보다 중요합니다.
자주 묻는 질문(FAQs)
Q1. 침샘부음은 집에서 치료할 수 있나요?
A1. 초기 단계에서 통증이 심하지 않다면 온찜질, 수분 섭취, 침샘 마사지 등을 통해 증상 완화가 가능하지만, 2~3일 이상 지속되거나 악화된다면 반드시 병원에 가야 합니다.
Q2. 침샘결석은 자연적으로 빠지나요?
A2. 아주 작은 결석은 자연 배출될 수 있지만, 대부분은 도관을 막기 때문에 수술적 제거가 필요합니다. 식사 중 반복되는 붓기와 통증은 결석을 의심해야 합니다.
Q3. 침샘 종양은 암일 가능성이 높은가요?
A3. 대부분 양성이지만, 일부 악성 종양도 존재하므로 정확한 진단을 위해 초음파, MRI, 조직검사가 필요합니다. 통증이 없는 단단한 혹은 특히 주의해야 합니다.
Q4. 침 분비가 줄어든 것만으로도 침샘 문제를 의심할 수 있나요?
A4. 네. 특히 구강 건조, 입 냄새, 입안 끈적임이 지속된다면 침샘 기능 저하 또는 쇼그렌 증후군 같은 자가면역질환 가능성이 있으니 검사가 필요합니다.
Q5. 침샘부음을 예방할 수 있는 가장 좋은 방법은 무엇인가요?
A5. 구강 위생 철저히 하기, 수분 충분히 섭취하기, 신맛 나는 음식 섭취로 침 분비 자극하기, 규칙적인 식사 습관 유지하기가 가장 효과적인 예방법입니다.
댓글