
임신 5주차는 많은 여성에게 있어 매우 중요한 시기입니다. 이 시점은 보통 생리 예정일이 지난 직후이기 때문에 많은 이들이 ‘혹시 임신일까?’ 하는 생각을 하게 됩니다. 증상은 사람마다 다르지만, 특정한 공통점이 존재합니다. 임신 5주차에는 호르몬 변화가 본격적으로 일어나며, 몸과 마음 모두 변화의 신호를 보냅니다. 지금부터 어떤 증상들이 나타날 수 있는지 하나하나 자세히 알아보겠습니다.
임신 5주차란 무엇인가요?
임신 주차 계산법
임신 주차는 마지막 생리 시작일을 기준으로 계산됩니다. 즉, 배란일이나 관계한 날이 아닌 마지막 생리 시작일부터 몇 주가 지났는지를 따져 임신 몇 주차인지를 말하죠. 임신 5주차는 실제 수정이 된 지 약 3주 정도가 지난 시점입니다. 이 시기에 임신 테스트기에서 양성이 나올 가능성이 높아지며, 혈중 hCG 수치도 빠르게 증가하게 됩니다.
이 계산법은 산부인과에서도 동일하게 사용되며, 출산 예정일도 이 기준으로 설정됩니다. 따라서 생리 주기가 불규칙하거나 기억이 나지 않는 경우, 정확한 임신 주차를 알기 위해 병원을 방문해 초음파 검사를 받는 것이 중요합니다.
임신 5주차의 태아 발달
5주차의 태아는 아직 매우 작으며 약 1.5~2mm 정도입니다. 이 시기에는 신경관이 형성되며, 뇌와 척수가 점차 구체적인 형태를 갖추게 됩니다. 심장 역시 이 시기부터 박동을 시작하며, 초음파를 통해 심박동이 관찰될 수도 있습니다. 비록 눈에 띄는 외형은 없지만, 태아의 주요 기관들이 형성되는 시기이므로 영양 섭취와 생활습관에 신경 써야 할 중요한 시기입니다.
가장 흔한 임신 5주차 증상
생리 예정일이 지나도 생리가 없음
가장 먼저 알아채는 증상 중 하나는 생리가 늦어지는 것입니다. 평소 생리 주기가 규칙적인 여성이라면 임신 여부를 의심할 수밖에 없죠. 임신이 되면 자궁 내막이 유지되기 때문에 생리가 멈추고, hCG 호르몬이 체내에서 분비되면서 생리 주기가 중단됩니다. 이는 임신 여부를 판단하는 첫 번째 지표로 여겨지며, 임신 테스트기를 사용해 확인할 수 있습니다.
단, 스트레스나 체중 변화, 수면 부족 등 다른 이유로도 생리가 늦어질 수 있으므로 확실한 진단은 병원에서 받아보는 것이 좋습니다.
가벼운 출혈 또는 착상혈
일부 여성은 임신 5주차 즈음에 아주 소량의 출혈을 경험할 수 있습니다. 이는 보통 착상혈이라고 불리며, 수정란이 자궁 내막에 착상하면서 발생하는 자연스러운 현상입니다. 일반적인 생리와는 다르게 색이 옅고 양이 매우 적으며, 하루 이틀 내로 멈추는 것이 특징입니다. 착상혈이 있다고 해서 문제가 있는 것은 아니며, 건강한 임신 과정의 일부일 수 있습니다.
유방의 변화 및 민감함
호르몬의 변화로 인해 유방이 예민해지고, 부풀어 오르는 듯한 느낌을 받을 수 있습니다. 특히 유두 주변이 진해지고 통증을 느끼는 경우도 많습니다. 이는 몸이 모유 수유를 준비하면서 나타나는 자연스러운 현상이며, 브래지어를 착용할 때 통증이나 불편함을 느낄 수 있으므로 부드럽고 편안한 소재의 속옷을 착용하는 것이 좋습니다.
소화계와 관련된 증상들
입덧과 구토
입덧은 임신 초기 대표적인 증상 중 하나입니다. 보통 임신 6~8주차부터 심해지긴 하지만, 일부 여성은 5주차부터 구역질이나 구토, 식욕 저하 등을 경험하기도 합니다. 아침에 특히 심해지는 경향이 있으며, 특정 냄새나 음식에 민감하게 반응하기도 합니다. 입덧이 심할 경우 충분한 수분 섭취와 식사 조절이 필요하며, 너무 심한 경우 의사의 상담이 필요합니다.
입덧은 태아에게는 직접적인 영향이 없지만, 임산부의 건강에 영향을 줄 수 있기 때문에 꾸준한 관리가 중요합니다. 가볍게 식사하면서 자주 나누어 먹거나, 생강차 등 위를 안정시키는 음료를 섭취하는 것도 도움이 됩니다.
소화불량과 속쓰림
임신 호르몬인 프로게스테론의 영향으로 소화기관의 근육이 이완되면서 위산 역류나 속쓰림이 자주 발생할 수 있습니다. 식후에 더부룩함을 느끼거나 속이 타는 듯한 느낌을 받는다면 이러한 증상 때문일 가능성이 높습니다.
과식을 피하고, 기름지거나 자극적인 음식은 피하는 것이 좋습니다. 또한 식사 후 바로 눕지 말고, 충분히 소화를 시킨 후 휴식을 취하는 습관이 도움이 됩니다. 일부 임산부는 이러한 소화기 증상으로 인해 음식 섭취 자체를 꺼리기도 하지만, 영양 불균형을 피하기 위해 전문가와의 상담이 필요합니다.

감정의 변화와 심리적 증상
감정 기복과 짜증
임신 초기에는 호르몬의 급격한 변화로 인해 감정 기복이 심해지는 경우가 많습니다. 평소에는 아무렇지 않게 넘기던 일에도 갑자기 짜증이 나거나 눈물이 나는 일이 많아집니다. 이는 에스트로겐과 프로게스테론이 급격하게 증가하면서 뇌의 신경전달물질에도 영향을 미치기 때문입니다.
특히 임신 사실을 처음 받아들인 시기인 5주차는 '기쁘면서도 불안한' 감정이 공존하는 시기이기 때문에, 감정의 기복이 더욱 도드라질 수 있습니다. 무기력함, 집중력 저하, 우울한 기분 등도 함께 나타날 수 있으며, 이는 대부분 정상적인 임신 증상입니다.
가족이나 배우자에게 이런 감정을 솔직하게 표현하고, 충분한 휴식을 취하며 감정적으로 안정을 취하는 것이 중요합니다. 또 감정 기복이 너무 심하거나 우울감이 지속된다면 전문가의 상담을 받아보는 것도 추천됩니다. 임신은 신체적인 변화뿐 아니라 정신적인 변화도 동반하므로, 본인의 감정을 억누르지 말고 자연스럽게 받아들이는 태도가 필요합니다.
피로와 무기력감
임신 5주차의 또 다른 대표적인 증상은 극심한 피로입니다. 자고 일어나도 개운하지 않고, 하루 종일 몸이 무겁고 나른한 느낌이 듭니다. 이유 없이 졸음이 쏟아지고, 일상생활이 힘들 정도로 기력이 떨어지는 경우도 많습니다.
이는 임신 호르몬 중 하나인 프로게스테론이 체내에서 증가하면서 발생하는 자연스러운 현상입니다. 몸은 이제 태아를 보호하고 키우는 준비를 시작했고, 에너지를 대폭 소비하기 시작합니다. 이로 인해 평소보다 더 많은 휴식이 필요해지고, 평범한 일상조차 벅차게 느껴질 수 있습니다.
충분한 수면, 규칙적인 식사, 가벼운 산책 등으로 몸의 밸런스를 조절하는 것이 중요합니다. 특히 카페인 섭취는 줄이고, 물을 자주 마시는 습관도 피로 회복에 도움이 됩니다. 너무 무리하지 않고 본인의 컨디션을 최우선으로 생각하는 것이 가장 중요합니다.
기타 자주 나타나는 신체적 변화
잦은 소변
임신 5주차에는 방광을 자극하는 호르몬 변화로 인해 소변이 자주 마려운 증상이 생깁니다. 자궁이 커지면서 방광을 누르는 것도 한몫하지만, 실제로는 hCG 호르몬이 혈류량을 증가시켜 신장을 더 많이 작동하게 만들기 때문에 소변량이 늘어납니다.
밤에 자주 화장실에 가야 해서 잠을 설치기도 하고, 외출 시에도 불편함을 느낄 수 있습니다. 하지만 이 증상은 정상적인 과정이며 대부분의 임산부가 경험하는 증상입니다. 단, 소변을 볼 때 통증이나 타는 듯한 느낌이 있다면 요로감염일 수 있으니 병원을 방문해 보는 것이 좋습니다.
물을 일부러 참거나 덜 마시는 것은 피해야 하며, 규칙적인 수분 섭취와 깨끗한 위생 상태를 유지하는 것이 중요합니다.
체온의 변화
임신 초기에는 기초 체온이 평소보다 높아진 상태가 유지됩니다. 배란기 후 황체기에는 체온이 자연스럽게 상승하는데, 임신이 되면 이 고온기가 계속 유지되면서 약간의 발열감과 함께 열이 있는 듯한 느낌을 받기도 합니다. 이 상태는 체내 호르몬 활동이 활발해지는 과정에서 자연스럽게 나타나는 증상입니다.
따라서 평소보다 미열이 있고, 몸이 조금 더워졌다고 느껴지는 것은 걱정할 필요 없습니다. 단, 고열이 지속되거나 두통, 오한, 근육통 등이 동반될 경우에는 감염의 가능성도 있으므로 병원을 방문해야 합니다.
자연스럽게 체온 조절을 위해 옷을 겹겹이 입거나, 더우면 바로 벗을 수 있는 얇은 옷을 활용해 체온을 관리하는 것이 좋습니다.
냄새에 민감해짐
임신 5주차가 되면 평소엔 괜찮았던 냄새에도 갑자기 민감하게 반응하는 경우가 많습니다. 향수, 음식 냄새, 심지어는 남편의 체취까지도 예민하게 느껴질 수 있습니다. 이 증상은 입덧과도 연관이 있으며, 냄새만 맡아도 메스꺼움을 유발하기도 합니다.
이는 임신 호르몬의 영향으로 후각이 예민해졌기 때문입니다. 일반적인 현상이지만, 생활에 큰 불편을 줄 수 있기 때문에 냄새를 유발하는 자극을 최대한 피하는 것이 좋습니다. 향이 강한 세제나 방향제 대신 무향 제품을 사용하는 것도 좋은 방법입니다.
자극적인 음식은 피하고, 신선한 공기를 자주 마시는 것도 도움이 됩니다. 특히 외출할 때는 마스크를 착용하여 외부 냄새를 차단하는 것이 좋습니다.

생활 습관에서 나타나는 변화
식습관의 변화
임신 5주차가 되면 식습관에서도 눈에 띄는 변화가 생깁니다. 평소 좋아하던 음식을 갑자기 싫어하게 되거나, 전혀 먹지 않던 음식이 끌리기도 하죠. 이는 호르몬 변화로 인해 미각과 후각이 민감해지면서 나타나는 전형적인 초기 임신 증상입니다. 특히 짠 음식이나 신 음식을 찾는 경향이 늘어나며, 일부는 음식 냄새만 맡아도 구역질을 하기도 합니다.
입덧이 심하다면 끼니를 건너뛰지 않도록 하루 4~5번 소량씩 자주 먹는 것이 좋습니다. 또한 탈수를 방지하기 위해 수분 섭취도 중요합니다. 이 시기에는 영양소를 균형 있게 섭취하는 것이 태아 발달에도 도움이 되므로, 식단에 철분, 엽산, 단백질 등을 적절히 포함시키는 것이 중요합니다.
가능하다면 임신 초기부터 산모 영양제를 복용하고, 지나친 간식이나 인스턴트 식품 섭취는 피하는 것이 바람직합니다. 갑작스러운 식습관 변화는 대부분 일시적인 현상이며, 시간이 지나면서 서서히 원래 상태로 회복됩니다.
수면 패턴의 변화
임신 5주차에는 수면에도 변화가 찾아올 수 있습니다. 피로감이 심해져 낮에 졸리거나, 밤에 충분히 자고도 여전히 피곤한 느낌을 받는 경우가 많습니다. 반대로 이유 없이 잠이 오지 않거나 자주 깨는 경우도 있으며, 이는 호르몬 변화와 정서적인 불안감이 복합적으로 작용한 결과입니다.
이러한 수면 문제를 해결하기 위해서는 매일 같은 시간에 자고 일어나는 규칙적인 생활이 중요합니다. 취침 전에는 스마트폰이나 TV 시청을 줄이고, 따뜻한 물로 샤워하거나 조용한 음악을 듣는 등 몸을 이완시키는 루틴을 만들어야 합니다.
수면자세도 중요합니다. 이 시기에는 아직 배가 많이 나오진 않았지만, 앞으로의 태아 성장에 대비해 왼쪽으로 누워 자는 습관을 들이는 것이 좋습니다. 이는 자궁으로 가는 혈류를 원활하게 도와주는 자세입니다.
임신 5주차에 해야 할 일
임신 테스트 및 병원 방문
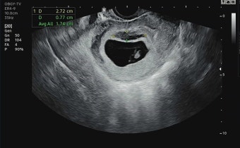
임신 5주차는 본격적으로 임신 여부를 확인하고 병원을 방문해야 하는 시기입니다. 가정용 임신 테스트기에서 양성이 나왔다면, 산부인과를 방문해 정확한 진단을 받아야 합니다. 혈액 검사와 초음파 검사를 통해 자궁 내에 정상적으로 착상되었는지 확인할 수 있습니다.
이 시기에 병원을 방문하면 태아의 위치, 착상 여부, 다태아 여부 등을 확인할 수 있고, 임신 유지에 필요한 초기 상담과 검진을 받을 수 있습니다. 특히 자궁외 임신이나 유산의 위험을 조기에 발견할 수 있기 때문에, 병원 방문은 절대 미루지 말아야 합니다.
의사는 임산부의 건강 상태, 기존 질환, 복용 중인 약 등에 대해 꼼꼼히 체크하며 필요한 경우 엽산제, 철분제 등을 처방하기도 합니다. 초기 관리가 매우 중요한 시기이므로 임신 확인 즉시 병원을 찾는 것이 현명한 선택입니다.
임신 5주차 건강관리 팁
영양제 섭취와 건강 식단
태아의 신경관이 형성되는 중요한 시기이기 때문에, 엽산 섭취가 특히 중요합니다. 엽산은 태아의 신경계 결함을 예방하는 데 필수적인 영양소이며, 일반적으로 임신을 계획할 때부터 복용하는 것이 좋다고 알려져 있습니다.
이외에도 철분, 칼슘, 오메가3, 비타민D 등 다양한 영양소를 균형 있게 섭취하는 것이 필요합니다. 식단으로 충분한 영양을 섭취하기 어렵다면, 산모용 종합비타민을 복용하는 것도 좋은 방법입니다. 단, 과도한 영양제 복용은 피하고 의사의 조언에 따라 섭취해야 합니다.
건강한 식단과 함께 적당한 운동도 중요합니다. 무리한 운동은 피해야 하지만, 가벼운 산책이나 임산부 요가 등은 스트레스를 해소하고 몸의 순환을 돕는 데 도움이 됩니다. 또한 물을 충분히 마시고, 수면을 규칙적으로 유지하는 것도 건강 유지에 매우 중요합니다.
남편이나 가족의 역할과 지원
임신 초기에는 정신적, 육체적으로 많은 변화가 일어나는 시기이기 때문에, 주변 가족 특히 남편의 이해와 배려가 중요합니다. 감정 기복이나 피로로 인해 짜증을 내거나 울음을 터뜨릴 수도 있지만, 이는 임산부의 의지가 아니라 호르몬의 영향이라는 사실을 인지하는 것이 필요합니다.
남편은 산모의 몸 상태와 감정 변화에 민감하게 반응하고, 가사 분담이나 정서적인 지지를 통해 안정감을 줄 수 있어야 합니다. 임신 관련 정보를 함께 공부하고, 병원 진료에도 동행해 주는 것만으로도 큰 힘이 됩니다.
또한 가족들도 산모가 편하게 지낼 수 있도록 환경을 조성해주고, 지나친 간섭보다는 따뜻한 격려와 배려가 필요합니다. 무엇보다 ‘혼자가 아니다’라는 안정감을 주는 것이 가장 중요합니다.
임신 5주차 이후를 준비하기
다음 단계에 대비하기
임신 5주차는 이제 임신이 시작되었음을 실감하고 본격적인 변화에 대비하는 단계입니다. 이 시기를 잘 관리하면 향후 임신 기간도 훨씬 수월하게 지나갈 수 있습니다. 태아는 점점 더 빠르게 성장하게 되고, 임산부는 앞으로 겪을 다양한 신체적 변화를 받아들일 준비를 해야 합니다.
앞으로 초음파 검사를 통해 태아의 심박수를 확인하고, 입덧은 점점 심해질 수 있으며, 체형 변화가 시작되면서 옷차림이나 생활 방식에도 변화가 필요해질 것입니다. 적절한 운동, 스트레스 관리, 가족과의 소통 등을 통해 건강하고 안정된 임신 생활을 유지하는 것이 중요합니다.
결론
임신 5주차는 새로운 생명의 시작을 실감하는 시기로, 다양한 신체적·정신적 증상들이 나타납니다. 이 시기의 변화는 모두 정상적인 과정이며, 너무 걱정하지 말고 차분하게 받아들이는 것이 가장 중요합니다. 가장 기본적이지만 중요한 것은, 자신의 몸 상태를 잘 관찰하고 필요시 전문가의 도움을 받는 것입니다.
이 시기를 잘 보내면 이후 임신 생활이 더 건강하고 편안해질 수 있습니다. 모든 산모와 예비 엄마들에게 힘찬 응원의 말을 전합니다. 건강한 임신과 순산을 기원합니다!
자주 묻는 질문 (FAQs)

Q1: 임신 5주차에도 임신 테스트기가 음성이 나올 수 있나요?
A: 드물지만 hCG 수치가 낮거나 생리 주기가 불규칙할 경우 음성이 나올 수 있습니다. 며칠 후 재검하거나 병원 검진이 필요합니다.
Q2: 임신 5주차 출혈은 유산의 신호인가요?
A: 반드시 그런 것은 아닙니다. 착상혈일 수도 있지만, 출혈이 지속되거나 통증이 동반되면 병원을 방문해야 합니다.
Q3: 입덧이 너무 심한데 약을 먹어도 될까요?
A: 심한 입덧은 병원에서 약 처방이 가능하니 전문의와 상담하는 것이 안전합니다.
Q4: 임신 5주차에 운동을 해도 괜찮을까요?
A: 무리가 되지 않는 가벼운 운동은 오히려 도움이 됩니다. 단, 전문의의 조언을 받는 것이 좋습니다.
Q5: 병원은 언제 가는 게 가장 좋을까요?
A: 임신 테스트기에서 양성이 나왔다면 즉시 병원을 방문해 정확한 진단과 초기 검진을 받는 것이 좋습니다.
댓글