
잇몸은 치아를 지탱해주는 중요한 조직입니다. 하지만 무심코 지나치는 작은 자극이나 잘못된 생활 습관으로도 쉽게 염증이 생길 수 있죠. 이때 방치하면 심각한 치주질환으로 발전할 수 있어, 조기 대응이 필수입니다. 잇몸이 붓고 피가 나거나 통증이 느껴진다면, 잇몸염증을 의심해야 합니다. 그럴 때 가장 먼저 생각나는 것이 바로 ‘잇몸염증약’입니다. 하지만 어떤 약을 써야 할지, 얼마나 오래 먹어야 하는지, 부작용은 없는지 궁금한 점이 한둘이 아니죠?
이 글에서는 잇몸염증의 원인부터 치료를 위한 약물의 종류, 복용 방법, 주의사항까지 꼼꼼하게 정리해드립니다. 입 속 건강을 지키기 위한 실질적인 정보를 알고 싶다면 지금부터 집중해주세요!
잇몸염증이란 무엇인가?
잇몸염증의 정의와 원인
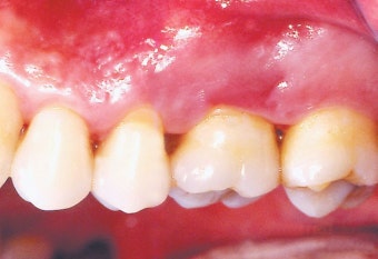
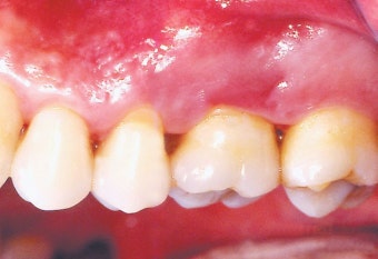
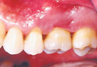
잇몸염증은 흔히 '치은염' 또는 '치주염'으로 불립니다. 이는 세균 감염이나 물리적인 자극, 면역 반응 등 다양한 원인으로 잇몸 조직에 염증이 생긴 상태를 말하죠. 대표적인 원인은 치석과 플라그입니다. 양치질이 제대로 되지 않으면 음식 찌꺼기가 잇몸 사이에 남고, 이것이 박테리아의 온상이 되어 염증을 유발합니다.
흡연, 과도한 스트레스, 영양 부족, 면역력 저하 등도 원인이 될 수 있어요. 특히 당뇨병 환자는 잇몸에 쉽게 염증이 생기고 회복도 더딘 편입니다. 잘못된 칫솔질이나 치아 교정기 착용 등으로 인한 물리적 자극도 무시할 수 없죠. 또, 여성의 경우 임신이나 생리 전후 호르몬 변화로 인해 잇몸이 민감해지며 염증이 잘 생기기도 합니다.
자주 발생하는 증상들
잇몸염증의 초기 증상은 매우 가볍게 나타나기 때문에 많은 사람들이 놓치기 쉽습니다. 다음과 같은 증상이 반복된다면, 반드시 전문가의 진단과 약물 치료가 필요합니다:
- 칫솔질할 때 피가 나는 증상
- 잇몸이 붓고 붉어지는 현상
- 입 냄새가 심해짐
- 잇몸 통증 또는 이물감
- 잇몸이 들뜨는 느낌
- 치아 사이에 음식물이 자주 끼는 경우
이러한 증상은 가볍게 여길 일이 아닙니다. 심해질 경우 치조골이 파괴되고 치아가 흔들리다가 빠질 수도 있습니다. 따라서 빠르게 약물로 치료를 시작하는 것이 중요합니다.
잇몸염증약의 필요성과 역할
왜 약물치료가 필요한가?
잇몸염증을 자연적으로 낫는다고 생각하는 분들이 많습니다. 그러나 한 번 생긴 염증은 쉽게 사라지지 않으며, 방치할 경우 더 큰 문제로 이어질 수 있습니다. 특히 염증이 잇몸 아래 뼈까지 퍼질 경우, 단순한 칫솔질이나 가글만으로는 회복이 어렵습니다. 이때 항생제, 항염증제 등의 약물을 복용하면 염증을 빠르게 가라앉히고 통증을 줄일 수 있죠.
약물은 세균의 증식을 막아주고, 면역 반응으로 인한 염증 반응을 억제하며, 통증을 경감시켜 줍니다. 또한 전신 건강에 영향을 미칠 수 있는 세균 전파를 차단하는 역할도 합니다. 예를 들어 심장질환 환자나 당뇨병 환자의 경우, 잇몸 세균이 혈류를 통해 퍼져 합병증을 일으킬 수 있어 조기 치료가 더욱 중요합니다.
자연 치유와 약물치료의 차이점
일시적인 통증이나 붓기는 자연 치유가 가능할 수도 있지만, 이미 세균 감염이 시작된 상태라면 약물 없이는 근본적인 치료가 어렵습니다. 자연 치유는 일상 생활에서 구강 위생을 철저히 하고 면역력을 높이면서 회복을 유도하는 방법인데, 이는 예방 차원에서는 좋지만 치료에는 한계가 있습니다.
반면 약물치료는 빠른 시간 내에 증상을 완화하고, 감염 부위를 직접 타겟으로 작용하기 때문에 훨씬 효과적입니다. 특히 치주염 초기 단계에서는 항생제만으로도 놀라운 효과를 볼 수 있으며, 상태가 더 심해진 경우에는 외과적 치료와 함께 병행하기도 합니다.
잇몸염증약의 주요 종류
일반의약품 vs 전문의약품
잇몸염증약은 크게 두 가지로 나뉩니다. 처방전 없이 약국에서 구입 가능한 ‘일반의약품’과, 병원에서 의사의 처방을 받아야 하는 ‘전문의약품’입니다.
일반의약품은 보통 경미한 염증이나 초기 치은염에 사용되며, 대표적으로는 가글용 약제, 연고, 소염 진통제가 있습니다. 구강청결제인 ‘클로르헥시딘’ 계열이나, 항염 효과가 있는 ‘덴탈겔’, ‘이가탄F’ 등이 여기에 포함됩니다.
전문의약품은 치주염이 심하거나 염증이 뼈로 번졌을 때 사용됩니다. 항생제(예: 아목시실린, 메트로니다졸), 스테로이드 제제, 강력한 소염제 등이 처방됩니다. 이들은 강한 효과가 있지만 부작용도 있을 수 있어 반드시 전문가의 진단이 필요합니다.
항생제 종류와 효능
잇몸염증의 원인이 세균 감염일 경우, 항생제는 핵심 치료 수단입니다. 가장 흔히 사용되는 항생제는 다음과 같습니다:
- 아목시실린(Amoxicillin): 광범위 항생제로, 대부분의 구강 세균에 효과가 좋습니다.
- 메트로니다졸(Metronidazole): 혐기성 세균에 강력한 효과, 특히 심한 치주염에 사용됩니다.
- 클린다마이신(Clindamycin): 페니실린 계열에 알레르기가 있는 사람에게 대체로 사용됩니다.
이 항생제들은 세균의 증식을 억제하고 감염을 빠르게 진정시켜주는 역할을 합니다. 하지만 장기 복용 시 내성이나 장내 세균 균형 파괴 등의 부작용이 있을 수 있어, 반드시 의사의 지시에 따라야 합니다.
항염증제와 진통제
잇몸 통증이 심하거나 붓기가 심할 경우에는 항염증제나 진통제도 함께 사용됩니다. 비스테로이드 항염증제(NSAIDs) 계열의 약물이 일반적이며, 대표적으로는 다음과 같습니다:
- 이부프로펜(Ibuprofen): 염증을 억제하고 통증을 줄여줍니다.
- 덱시부프로펜(Dexibuprofen): 위장 부작용이 적은 신세대 항염제.
- 나프록센(Naproxen): 지속시간이 길어 하루 2회 복용으로도 효과 지속.
이들 약물은 염증 부위의 통증을 완화하고 일상생활의 불편함을 줄이는 데 도움을 줍니다. 다만, 장기간 복용 시 위장 장애나 간 기능 이상이 나타날 수 있으므로 주의가 필요합니다.

약물 복용 시 주의사항
복용 기간과 용량 조절
잇몸염증약을 복용할 때 가장 중요한 것은 ‘정해진 용량과 기간’을 정확히 지키는 것입니다. 많은 사람들이 증상이 완화되면 복용을 중단하거나, 반대로 효과가 부족하다고 판단해 스스로 복용량을 늘리곤 하는데요. 이 두 가지 모두 치명적인 실수입니다.
항생제의 경우, 처방된 기간보다 일찍 복용을 중단하면 세균이 완전히 제거되지 않아 약에 내성이 생길 수 있습니다. 내성균은 훨씬 강해져 다음 치료에 큰 장애물이 되죠. 반대로 과다 복용은 간이나 신장에 부담을 줄 수 있고, 위장 장애, 어지러움, 알레르기 반응 등의 부작용도 유발할 수 있습니다.
예를 들어, 아목시실린을 하루 3회, 7일간 복용하라고 했다면 그 일정을 정확히 지켜야 하며, 절대 임의로 중단하거나 연장해서는 안 됩니다. 또, 약을 복용할 때에는 반드시 물과 함께 식후에 복용하는 것이 좋습니다. 위장을 보호하고 흡수율도 높일 수 있기 때문이죠.
가글제나 연고제의 경우에도 과용하면 구강 내 유익균까지 제거될 수 있어 오히려 입속 균형이 깨집니다. 따라서 ‘많이 쓰면 더 좋다’는 생각은 버려야 합니다.
다른 약물과의 상호작용
잇몸염증약은 단독으로 복용할 때보다, 다른 약물과 병용할 때 문제가 생기는 경우가 많습니다. 특히 항생제와 항염제는 특정 약물과 상호작용을 일으켜 약효가 줄어들거나 부작용이 증가할 수 있습니다.
예를 들어:
- 항생제 아목시실린은 피임약의 효과를 떨어뜨릴 수 있습니다.
- 메트로니다졸은 알코올과 절대 함께 복용하면 안 됩니다. 심한 메스꺼움, 구토, 두통 등을 유발할 수 있죠.
- 항염증제 이부프로펜은 고혈압약이나 이뇨제와 함께 복용 시 신장 기능에 부담을 줄 수 있습니다.
또, 특정 보조제나 건강기능식품, 비타민제와도 충돌할 수 있기 때문에 복용 중인 약이 있다면 의사나 약사에게 반드시 상담해야 합니다. 특히 고혈압, 당뇨, 심장질환, 간·신장질환 환자는 사전에 반드시 전문가의 지도가 필요합니다.
대표적인 잇몸염증약 추천
국내 약국에서 구매 가능한 제품들
우리나라 약국에서는 다양한 일반의약품 형태의 잇몸염증약이 판매되고 있습니다. 다음은 소비자들에게 꾸준한 사랑을 받는 제품들입니다:
- 이가탄F (정제)
- 주성분: 당귀, 감초, 황련 등 생약 성분
- 특징: 혈액순환 개선 및 염증 완화, 잇몸 출혈 감소
- 복용법: 성인 기준 하루 3회, 1회 1정
- 장점: 자연유래 성분으로 장기 복용 가능
- 단점: 효과 발현까지 다소 시간이 걸릴 수 있음
- 덴탈겔 (연고형)
- 주성분: 트리암시놀론 아세토니드
- 특징: 국소 항염 효과, 잇몸 통증 완화
- 사용법: 식후 또는 취침 전 잇몸 부위에 얇게 도포
- 장점: 빠른 효과, 국소 작용이라 부작용 적음
- 단점: 음식 섭취 전에는 사용 자제 필요
- 헥사메딘 가글액
- 주성분: 클로르헥시딘 글루콘산염
- 특징: 구강 세균 제거, 치은염 예방
- 사용법: 하루 2회, 30초 이상 가글 후 뱉음
- 장점: 강력한 살균력
- 단점: 장기 사용 시 치아 착색 우려
이 외에도 오라메디, 오라베이비, 파로돈탁스 등 다양한 제품이 있으며, 증상에 맞춰 선택하는 것이 중요합니다. 단, 1주 이상 복용했음에도 증상이 개선되지 않으면 병원을 방문해 전문의약품 처방을 받아야 합니다.
병원 처방으로 받는 대표 약품들
잇몸염증이 심하거나 통증이 극심할 경우, 병원에서는 강력한 전문의약품을 처방합니다. 다음은 치과 및 구강외과에서 자주 처방되는 대표적인 약물입니다:
- 아목시실린 (Amoxicillin)
- 광범위 항생제, 대부분의 구강 세균에 효과
- 보통 메트로니다졸과 함께 복용해 상승 효과 유도
- 메트로니다졸 (Metronidazole)
- 혐기성 세균에 특화
- 강력한 항생 효과, 치주염에 자주 사용
- 술과 병용 절대 금지!
- 덱시부프로펜 / 나프록센
- 항염 및 진통 효과
- 치주 수술 후 통증 완화 및 염증 진정에 탁월
- 위장 보호제와 함께 복용 권장
- 클로르헥시딘 구강세정제 (처방용 고농도)
- 일시적 강력한 세균 제거
- 보통 1~2주 단기 사용 후 중단
- 스테로이드 연고 (예: 케나코트)
- 심한 염증 부위에 직접 적용
- 짧은 기간 내 통증 완화 효과 큼
- 장기 사용 시 구강 점막 위축 가능성
병원에서는 잇몸 상태를 육안으로 확인하고, 염증 정도에 따라 항생제, 진통제, 가글제, 연고 등을 복합적으로 처방하는 경우가 많습니다. 약물뿐 아니라 스케일링이나 치근활택술 같은 물리적 치료도 병행하므로, 잇몸 상태가 심한 경우에는 무조건 병원 방문이 필수입니다.






잇몸염증 치료를 위한 생활 습관 개선
정기적인 구강 관리의 중요성
잇몸염증을 완전히 없애고 재발을 방지하려면 약물 복용만으로는 부족합니다. 생활 습관의 개선이 함께 이루어져야만 잇몸 건강을 근본적으로 지킬 수 있죠. 무엇보다 중요한 것은 정기적인 구강 관리 습관입니다.
하루에 두 번 이상의 양치질은 기본입니다. 특히 자기 전 양치질은 필수인데, 밤사이 입 안의 침 분비가 줄어들면서 세균 번식이 활발해지기 때문입니다. 칫솔질은 치아뿐 아니라 잇몸과 혀, 볼 안쪽까지 꼼꼼히 닦아야 하며, 치간칫솔이나 치실을 병행하면 플라그 제거 효과가 크게 높아집니다.
또한, 3~6개월마다 한 번씩 치과 검진과 스케일링을 받는 것도 중요합니다. 스케일링은 잇몸 염증의 주범인 치석을 제거해주며, 전문가가 직접 구강 상태를 점검해 조기 대응이 가능하게 합니다.
흡연자라면 반드시 금연을 고려해야 합니다. 흡연은 잇몸 혈류를 감소시켜 염증을 악화시키고 치유 속도도 늦춥니다. 술 역시 입안 점막에 자극을 줘 염증을 심화시킬 수 있죠.
식습관이 잇몸 건강에 미치는 영향
잇몸을 튼튼하게 하는 음식과 피해야 할 음식
음식 섭취 습관도 잇몸염증 치료에 큰 영향을 미칩니다. 특히 항산화 작용과 면역력 강화에 좋은 음식은 잇몸 염증을 가라앉히고 회복을 돕는 데 효과적입니다.
✅ 잇몸에 좋은 음식
- 녹황색 채소 (시금치, 브로콜리, 케일)
→ 비타민 C가 풍부하여 잇몸 출혈 예방 - 견과류, 씨앗류
→ 비타민 E, 아연, 셀레늄 등 면역력 강화 - 등푸른 생선 (고등어, 연어)
→ 오메가-3 지방산이 염증 완화에 효과적 - 요거트 및 유산균 제품
→ 구강 내 유익균 증가로 세균 번식 억제
❌ 피해야 할 음식
- 단 음식, 탄산음료
→ 세균 번식의 주 원인, 플라그 생성 증가 - 딱딱하거나 끈적한 음식
→ 잇몸에 물리적 자극, 상처 유발 - 자극적인 음식 (매운 음식, 알코올)
→ 염증 부위를 자극해 통증 유발
매 끼니 후 물로 입을 헹구거나 가볍게 가글을 하는 것도 좋은 습관입니다. 이처럼 작은 실천이 잇몸을 튼튼하게 만들어줍니다.
약물 치료 외 대체 요법은 없을까?
자연요법과 한방 치료의 가능성
약물 치료에 부담을 느끼거나 부작용을 걱정하는 사람들을 중심으로 대체요법에 대한 관심도 높아지고 있습니다. 그중 대표적인 것이 자연요법과 한방 치료입니다.
천연 항염 성분을 활용한 가글이나 연고는 부담이 적고 장기적으로 사용할 수 있다는 장점이 있습니다. 예를 들어, 소금물 가글은 항균 작용과 잇몸 수축 효과가 있어 초기 염증에 도움을 줄 수 있습니다. 또한, 녹차 추출물, 알로에 베라 젤을 활용한 제품도 최근 많이 나오고 있습니다.
한방 치료에서는 잇몸염증을 ‘열독(熱毒)’이나 ‘기혈 부족(氣血不足)’으로 보며, 체질 개선을 통해 치료하는 접근을 합니다. 청열해독탕, 보중익기탕 같은 한약이 대표적이며, 체내 염증 수치를 낮추고 잇몸의 재생력을 높여주는 데 초점이 맞춰져 있습니다.
물론, 이러한 치료법은 과학적 근거가 부족한 경우도 있으므로 반드시 전문가의 상담을 받고 병행하는 것이 중요합니다.
잇몸염증약 복용 후 주의해야 할 점
재발 방지를 위한 관리 포인트
잇몸염증약을 복용했다고 해서 문제가 완전히 해결된 것은 아닙니다. 많은 사람들이 약 복용 후 증상이 사라지면 관리에 소홀해지고, 그 결과 염증이 재발하거나 악화되는 경우가 많죠.
약 복용이 끝난 후에는 더욱 철저한 구강위생 유지가 필요합니다. 잇몸이 회복되는 데에는 시간이 걸리기 때문에, 통증이 사라졌다고 방심하지 마세요. 치실, 구강세정기, 무알코올 가글 등을 활용해 일상적으로 잇몸을 청결하게 유지하는 것이 중요합니다.
또한, 스트레스 관리는 간과하기 쉬운 부분입니다. 스트레스는 면역력을 낮추고 염증을 촉진시키는 호르몬을 분비하게 하므로, 잇몸 상태에 직접적인 영향을 미칩니다. 충분한 수면, 규칙적인 운동, 취미생활 등을 통해 정신적 안정을 유지하는 것도 잇몸 건강에 매우 중요하죠.
잇몸염증이 심할 경우 언제 병원에 가야 할까?
자가 치료의 한계와 치과 치료 필요 시점
초기 잇몸염증은 약물 복용과 구강 관리만으로도 호전될 수 있습니다. 그러나 다음과 같은 증상이 있다면 즉시 병원을 방문해야 합니다:
- 통증이 1주일 이상 지속될 경우
- 잇몸에서 고름이 나오는 경우
- 치아가 흔들리는 느낌이 들 때
- 턱 밑 림프절이 부을 때
- 입 냄새가 심하게 지속될 경우
이 경우 단순한 치은염을 넘어 치주염 또는 치주 농양으로 발전했을 가능성이 높습니다. 치주낭이 깊어져 뼈에까지 염증이 퍼졌다면, 약물로는 한계가 있으며 **치과 치료(스케일링, 치근활택술, 잇몸 수술)**이 반드시 필요합니다.
또한, 당뇨, 고혈압, 면역질환 환자는 평범한 염증도 빠르게 악화될 수 있으므로 증상이 가벼워 보여도 반드시 전문 진료를 받아야 합니다.
결론
잇몸염증은 방치할 경우 단순한 통증을 넘어서 치아 손실, 전신 질환으로까지 이어질 수 있는 위험한 질환입니다. 그러나 조기에 적절한 약물치료를 병행하고, 생활습관을 개선한다면 충분히 관리할 수 있습니다.
잇몸염증약은 단순히 염증을 가라앉히는 것에 그치지 않고, 전반적인 구강 건강을 회복하는 데 핵심적인 역할을 합니다. 처방약이든 일반의약품이든, 올바른 복용법과 주의사항을 지켜야 효과를 극대화할 수 있죠.
이제는 약물치료에만 의존하는 시대가 아닙니다. 올바른 칫솔질, 규칙적인 치과 방문, 영양 섭취, 스트레스 관리까지 함께 이루어져야만 건강한 잇몸과 치아를 오래도록 유지할 수 있습니다. 입 속 건강은 전신 건강의 시작입니다. 지금 바로 실천해보세요!
자주 묻는 질문 (FAQ)
1. 잇몸염증약은 얼마나 오래 복용해야 하나요?
보통 항생제는 5~7일 정도 복용하지만, 약 종류와 증상에 따라 달라집니다. 반드시 의사의 지시에 따르세요.
2. 약 없이도 잇몸염증이 자연적으로 나을 수 있나요?
경미한 경우 자연 회복이 가능하지만, 대부분의 염증은 약물치료가 필요합니다. 증상이 2~3일 이상 지속되면 병원을 방문하세요.
3. 잇몸염증약을 장기간 복용해도 괜찮나요?
일반적으로 단기 복용이 원칙입니다. 장기 복용 시 간·신장 기능에 영향을 줄 수 있으므로 전문의와 상의가 필요합니다.
4. 임산부도 잇몸염증약을 복용할 수 있나요?
복용 가능한 약물이 제한되어 있으므로 반드시 산부인과나 치과 전문의의 진단 후 복용해야 합니다.
5. 잇몸염증을 예방하려면 어떤 관리가 필요한가요?
정기적인 양치질, 치간칫솔 사용, 정기 검진, 균형 잡힌 식사, 금연과 같은 일상 관리가 중요합니다.
댓글