중심성망막염, 갑자기 시야가 흐려졌다면?

들어가며
어느 날 아침, 스마트폰 글자가 살짝 찌그러져 보이거나 중심이 뿌옇게 보인 적 있나요? “피곤해서 그런가?” 하고 넘겼다면, 이 글을 꼭 읽어보세요. 중심성망막염은 바쁜 일상 속 스트레스와 함께 슬쩍 찾아와 시야 한가운데에 안개를 씌우듯 나타나는 질환입니다. 다행히도 많은 경우 자연 회복이 가능하지만, 방치하면 오래 불편할 수 있어요. 지금부터 어렵지 않게, 실제 생활에 와닿게 하나씩 풀어볼게요.
1. 중심성망막염이란 무엇인가
중심성망막염은 눈 속 망막 아래에 물이 고이면서 중심 시야가 흐려지는 질환이에요. 마치 사진 렌즈에 물방울이 맺혀 초점이 어긋나는 느낌과 비슷하죠. 주변은 비교적 잘 보이는데, 정작 중요한 가운데가 문제를 일으킵니다.
2. 왜 중심 시야가 문제일까
우리가 글자를 읽고, 사람 얼굴을 알아보고, 스마트폰을 보는 데 쓰는 건 중심 시야예요. 이 부분이 흐려지면 일상 만족도가 확 떨어지죠. “보이긴 보이는데 답답하다”는 말이 딱 맞습니다.
3. 주요 증상 한눈에 보기
- 중심이 뿌옇게 보임
- 글자가 찌그러져 보임
- 사물이 작게 느껴짐
- 색이 바래 보임
이 중 하나라도 느껴진다면 그냥 넘기지 마세요.
4. 증상이 나타나는 방식의 차이
사람마다 증상은 달라요. 어떤 이는 서서히, 어떤 이는 아주 갑자기 느낍니다. 한쪽 눈만 오는 경우가 많아 다른 눈으로 보정하며 뒤늦게 알아차리기도 해요.
5. 원인은 하나가 아니다

원인을 딱 하나로 말하긴 어려워요. 하지만 공통점은 있습니다.
- 스트레스
- 수면 부족
- 스테로이드 약물 사용
이 세 가지가 자주 엮입니다.
6. 스트레스와 호르몬의 관계
스트레스를 받으면 몸은 코르티솔이라는 호르몬을 분비해요. 이 호르몬이 많아지면 눈의 미세 혈관과 체액 균형에 영향을 주어 망막 아래에 물이 찰 가능성이 높아집니다. 마치 배수구가 막혀 물이 고이는 것처럼요.
7. 누가 잘 걸릴까
- 20~50대 남성
- 업무 스트레스가 많은 직장인
- 야근·교대 근무자
- 완벽주의 성향
특히 “요즘 너무 바쁘다”는 말이 입에 붙어 있다면 주의가 필요해요.
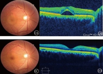
8. 진단은 어떻게 할까
안과에서는 안저 검사, **OCT(망막 단층 촬영)**으로 확인합니다. 통증 없고 빠르게 끝나요. 눈 속을 들여다보는 초음파 같은 검사라고 생각하면 쉬워요.
9. 치료, 꼭 해야 할까
많은 경우 자연 회복됩니다. 그래서 초기에는 경과 관찰을 선택하는 경우가 많아요. 다만 3~4개월 이상 지속되면 치료를 고려합니다.
10. 자연 회복을 기다리는 전략
- 충분한 수면
- 스트레스 관리
- 카페인·흡연 줄이기
- 스테로이드 약물 피하기
몸을 쉬게 하면 눈도 함께 회복합니다.
11. 치료 옵션 정리

- 레이저 치료: 특정 부위에만 선택적으로
- 광역학 치료: 재발이 잦을 때 고려
- 약물 치료: 개인 상태에 따라 선택
모든 치료는 전문의 판단이 중요해요.
12. 회복 기간과 예후
대부분 수주~수개월 내 좋아집니다. 시야가 완전히 예전 같지 않을 수는 있지만, 생활에 지장 없는 수준으로 회복되는 경우가 많아요.
13. 재발 가능성과 관리법
재발률은 생각보다 높습니다. 그래서 관리가 중요해요. 스트레스를 줄이고, 수면을 챙기고, 정기 검진을 권해요.
14. 생활 속에서 조심할 점
- 밤샘 작업 줄이기
- 커피 과다 섭취 피하기
- 스마트폰 장시간 사용 조절
작은 습관이 큰 차이를 만듭니다.
15. 일상으로 돌아가기 위한 체크리스트
- 오늘 잠은 충분했나?
- 스트레스를 풀 시간이 있었나?
- 눈에 무리가 갔나?
이 세 가지만 매일 점검해도 도움이 됩니다.
마치며
중심성망막염은 겁을 줄 질환은 아니지만, 무시할 질환도 아닙니다. 몸이 보내는 신호에 귀 기울이고, 잠시 속도를 늦추라는 메시지로 받아들여 보세요. 눈은 생각보다 솔직합니다. 당신의 삶의 리듬을 그대로 비춰주거든요.
자주 묻는 질문 (FAQs)
Q1. 중심성망막염은 저절로 낫나요?
네, 많은 경우 자연 회복됩니다. 다만 경과 관찰이 중요해요.
Q2. 한쪽 눈만 생길 수도 있나요?
네, 대부분 한쪽 눈에 먼저 나타납니다.
Q3. 실명으로 이어질 수 있나요?
드문 경우입니다. 조기 관리로 충분히 예방 가능합니다.
Q4. 스트레스만 줄여도 도움이 되나요?
큰 도움이 됩니다. 수면과 함께 가장 중요한 요소예요.
Q5. 재발을 막을 방법은 없나요?
완벽한 예방법은 없지만, 생활 관리로 위험을 낮출 수 있습니다.